~より安全で、体に優しい手術を心掛けています~
しっかりとした術前検査・麻酔中の詳細なモニタリング・十分な疼痛管理・先端医療の導入
診療科
ホームᐳ診療科ᐳ整形外科
しっかりとした術前検査・麻酔中の詳細なモニタリング・十分な疼痛管理・先端医療の導入

トイプードルやポメラニアン、チワワ、イタリアングレーハウンドなどの小型犬はソファーからの落下などで、前肢を骨折してしまうことが少なくありません。その際、金属製のインプラントを使って整復する必要性があるケースが多いのが現状です。
当院では、従来の治療法に加え、ロッキングプレートを用いた治療も行っております。
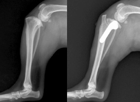
Pointロッキングプレート |
|
|---|---|
![]() |
ロッキングプレートはプレートにスクリューをロッキングさせて固定するシステムで、手術時間の短縮や合併症の減少が期待できる治療法です。 |

前十字靭帯は、膝の関節内にある重要な靭帯の一つで、大腿骨に対して脛骨が前に飛び出ないようにするとともに、膝の過伸展の防止、脛骨の内旋制御をすることで膝を安定化しています。高齢、肥満、内分泌疾患、膝蓋骨内方脱臼などをリスクファクターとし、脆弱した前十字靭帯が断裂してしまうと、痛みと跛行がみられるようになってしまいます。その場合、膝関節を安定化する必要があります。
当院では、従来の人工材料を用いた関節外法(ラテラルスーチャー法など)に加えて、最新の治療法の一つであるTPLO(脛骨高平部水平化骨切術)を実施しております。
PointTPLO(脛骨高平部水平化骨切術) |
|
|---|---|
![]() |
脛骨の一部を切り取り角度を調整することで脛骨の前方への推進力を制限し、膝関節の安定化を図ります。 従来の関節外法に比べて早期の歩行回復がえられたり、中〜大型犬にも対応できるメリットがあります。 |

膝蓋骨とは、いわゆる膝のお皿のことで、大腿骨の滑車溝という溝にあり、膝の曲げ伸ばしの際に滑るように移動しています。その膝蓋骨が内側に外れることを膝蓋骨内方脱臼と言い、ヨークシャーテリアやチワワ、トイプードル、ポメラニアン、柴犬などによくみられます。外側に外れる外方脱臼は内方脱臼に比べ少ないですが、大型犬に発生する傾向があります。
その程度によりグレード分けされ治療方法が決まります。跛行が続く場合は手術が奨められます。
椎間板ヘルニアとは、椎体(背骨)間に存在し、圧迫やねじれに対してショックアブソーバーとして機能している椎間板が変性して飛び出し、脊髄神経の損傷や浮腫を起す病気です。ミニチュダックスフンドやビーグル、シーズー、ペキニーズなどでみられます。主に、痛みや四肢の麻痺、排尿障害が生じてしまいます。重症であれば、飛び出した椎間板物質を摘出したり、神経への圧力を逃がしたりする手術を実施した方が改善率が高いとされています。腰だけでなく首にも発生します。
当院では、神経への侵襲を最低限にするため、必要に応じて動物用超音波手術器(SonoCure)を使用しています。
腫瘍は様々な部位に発生し、豊富な血管が張り巡らされていたり、すでに破けて出血していたりし、迅速な対応が迫られることがあります。
当院では、ベッセルシーリングシステム(Ligasure)を用いて出血量、手術時間を少なくするよう取り組んでいます。また、縫合糸を残さない利点もあり、症例によっては去勢・避妊手術にも使用します。
Pointベッセルシーリングシステム(Ligasure) |
|
|---|---|
![]() |
![]() |

内視鏡は消化管内腔の粘膜を肉眼で観察でき、病変を生検をすることで病理診断を行えるだけでなく、異物の摘出や食道狭窄の治療、胃瘻造設なども可能です。
特に慢性消化器疾患の動物で、がんと炎症性疾患などの鑑別に役立ちます。
また、開腹下での手術や検査と比べ侵襲性が低く動物への負担が少ないことも大きなメリットです。
NBI(Narrow Band Imaging)とは2つの短い波長の光(波長:415nm, 540nm)を粘膜にあてることで粘膜の微細な表面構造や表層の毛細血管をくっきりと写し出すという技術です。がん病変は正常部分と比べ、表面の構造、毛細血管の分布が違っているので、NBIを使うことにより「がん」が浮かび上がって見えてきます。人間の医療ではNBIシステムによりこれまで通常の観察で見逃されていたような小さながんを見つけることが可能になっており、今後、動物の医療においても活躍が期待されている機能です。当院では、内視鏡検査の際、通常の白色光観察に加えNBIによる観察を実施することで、より精度の高い検査をめざしています。