症例紹介CASE INTRODUCTION
-
導入
これまで動物病院で愛犬が診察を受ける中で
「お膝の皿が外れやすいですが経過観察でいいでしょう。」
「パテラが脱臼していますが歩き方には問題ありません。様子を見ましょう。」
と言われた経験はありませんか?本当に経過観察で良いのでしょうか?
ここでは膝蓋骨脱臼について詳しく説明していきます。現在日本では小型犬の飼育頭数が非常に多く、中でもチワワやトイプードルといったトイ犬種と呼ばれる小型犬が人気です。トイ犬種は遺伝的に膝蓋骨脱臼に罹患していることが多いです。大型犬や、猫でも罹患することがありますが小型犬ほど多くありません。
膝蓋骨脱臼が直接生命に危険を及ぼすことはありませんが発症年齢、重症度に応じて歩行異常、特に膝関節の伸展障害が起こり、生活の質を著しく落とすことがあります。
当院では「適切なタイミングで適切な治療を受けること」をお勧めしています。 -
病態
膝蓋骨脱臼とは膝蓋骨(いわゆる膝のお皿)が大腿骨滑車(膝の溝)から外れている事と定義されます。
膝蓋骨が内側に脱臼する膝蓋骨内方脱臼、外側に脱臼する膝蓋骨外方脱臼、内方にも外方にも脱臼する両側性脱臼に分類されます。
小型犬は内方脱臼が多く、大型犬は外方脱臼が多いです。犬全体で見れば内方脱臼が90%程度、外方脱臼は10%程度であり、内方脱臼の発生率の方が高いです。
好発犬種はヨークシャーテリア、トイプードル、チワワ、ポメラニアン、マルチーズ等のトイ犬種や柴犬と言われています。 また猫の場合交通事故などによる外傷性膝蓋骨脱臼が多いです。膝蓋骨脱臼は重症度によりsingleton分類というグレード分類を行います。
グレード1: 膝蓋骨は手で押すと脱臼するが手を離せば正常位に戻る グレード2: 膝蓋骨は膝を屈曲するか手で押せば脱臼し、膝を伸展するか手で押せば整復する グレード3: 膝蓋骨は常時脱臼したままで、手で整復は可能だが手を離せば再び脱臼する グレード4: 膝蓋骨は常時脱臼し、手で整復できない -
膝蓋骨の働きについて
膝関節は大腿四頭筋、膝蓋骨、膝蓋靭帯、脛骨粗面から構成される膝関節伸展機構ユニットの働きにより屈伸運動を円滑に行います。
膝蓋骨は大腿四頭筋の収縮により大腿骨滑車面を後方へ圧迫し、膝蓋靭帯を牽引することで力学的に滑車のように働き膝関節が伸展します。 -
原因
膝蓋骨脱臼の根本的な原因については解明されていませんが、発生要因として成長期の大腿四頭筋群の発達障害、股関節の異常、膝蓋骨の位置の異常とされています。 習慣的に膝蓋骨脱臼がある場合、大腿骨滑車溝という膝の溝が浅くなり、膝関節の不安定はさらに悪化します。
-
症状
後肢の伸展障害による跛行(足をかばうような歩行)、挙上、関節炎による疼痛など
具体的には
- スキップのような歩き方をする
- 腰を曲げ、膝を曲げて歩く
- キャンと鳴いて後肢を挙げる
- 膝を後ろに伸ばすような仕草をする
成長期にグレード3から4の重度の膝蓋骨脱臼を発症した場合、大腿骨の変形、膝関節の内反、脛骨粗面の内方変位などが起こり、骨と関節の向きがバラバラになり起立、歩行が困難になる場合があります。
-
診断方法
膝蓋骨内方脱臼の診断は歩様の視診、触診による整形外科的検査、レントゲン検査によって行います。
歩様検査では起立位での姿勢、歩行時、走行時の跛行、後肢の挙上がないか確認します。 -
視診
起立位で腰を落とし、足根関節を伸展するような姿勢が認められる場合膝蓋骨脱臼による膝関節の伸展障害が起こっている可能性があります。
膝蓋骨脱臼のグレードによっては跛行や後肢の挙上が認められない、もしくは時々認められる程度ということもあります。常に挙上しているようなケースは稀に認められます。 -
触診
膝を伸展し、膝蓋骨が脱臼しやすい方向へ肢端を回旋し膝蓋骨を指で押して脱臼を誘発します。屈伸運動のみで脱臼が誘発されることもあります。
脱臼の程度によりsingleton分類を行い重症度の評価をします。
四頭筋群などの筋肉の拘縮や伸展制限がないか評価をします。また、跛行が認められるケースでは同時に前十字靭帯断裂の併発がないか確認します。 -
画像診断
レントゲン検査では膝蓋骨の位置だけでなく関節炎の有無の確認、関節液の貯留や脛骨前方変位などの前十字靭帯損傷の兆候がないか膝関節の異常の評価や大腿骨の変形、脛骨粗面の変形の確認をします。
手術を行う場合にはレントゲン画像を見ながら手術の術前計画を考えます。
グレードの高い症例やレントゲン検査で大腿骨の変形が疑われる症例ではCT検査で大腿骨の変形、股関節の異常の確認をする場合があります。 -
治療
【内科治療(保存療法)】
膝蓋骨の脱臼が低グレードで後肢の跛行、挙上などの臨床症状がない場合、または心臓病など重度の基礎疾患があり麻酔のリスクが高い場合には内科治療が選択される事があります。
治療内容は疼痛管理、運動制限、体重管理の3つが主体となります。
関節軟骨が摩耗して関節炎を起こしている場合には腫れや痛みを伴い、関節可動域が低下します。痛みの管理のために消炎鎮痛剤を投与し、炎症を抑えます。
炎症が強い時には安静が必要になりますが、動物の場合安静を維持するためにクレートやケージに入れて運動制限をします。状態によりますが通常1、2週間の運動制限を行い炎症が改善するのを待ちます。
肥満により体重過多の症例は各関節に掛かる負荷が多くなります。日々の食事の見直しが必要になります。【外科治療】
膝蓋骨脱臼により筋肉の拘縮や関節のアライメントの異常が起こり歩様異常を引き起こしている症例は外科手術の適用となります。当院ではグレード2以上の膝蓋骨脱臼があり、後肢の跛行や挙上などの臨床症状がある場合、またはグレード3以上の膝蓋骨脱臼に罹患している場合に外科手術を推奨しています。
術式は以下に挙げるものを患者の膝関節の状態に合わせて組み合わせて行います。- 筋肉、支帯の解放術:膝蓋骨脱臼に伴う筋肉、支帯などの軟部組織の過緊張を解除します。
- 関節包の解放、縫縮術:膝蓋骨脱臼により伸びた関節包を部分切除、縫縮します。
- 滑車溝造溝術:形成不全により通常より浅い滑車溝をサジタルソーやラウンドバーで深く掘りなおします。
- 脛骨粗面転位術:脛骨稜を骨切りし、内側、外側、遠位へ移動し固定することで膝関節の膝蓋骨へかかる力の方向を整えて脱臼が起こりづらくします。
- 大腿骨の矯正骨切り術:高グレードの膝蓋骨脱臼に伴い大腿骨の変形が認められる場合骨切りし、プレートによる内固定を行い角度矯正します。
-
術後管理
後肢の手術の場合疼痛管理のため麻酔導入直後に硬膜外麻酔を投与します。
手術直後には術部の炎症による熱感、疼痛、腫脹を防ぐためアイシングをし、包帯を巻いて浮腫を防ぎます。手術中から翌日まで強い鎮痛効果のあるオピオイド系鎮痛剤を点滴で持続投与します。
感染予防のため抗生剤を投与し、疼痛管理のために非ステロイド性消炎鎮痛剤の投与を行います。
術後は術部を舐めないように抜糸までエリザベスカラーを着用します。
退院後は検診のため定期的に来院して頂き膝関節の評価を行います。 -
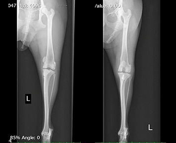
当院での治療例


症例:トイプードル 年齢:1歳5か月 体重:2.3kg
たまに左後肢を挙上し、スキップのような歩行をするのが気になるという主訴で来院されました。
触診で右膝蓋骨内方脱臼グレード1、左膝蓋骨脱臼グレード3と診断。 レントゲン検査でも膝蓋骨内方脱臼を確認できました。関節液も軽度に貯留が認められました。左膝関節は若齢でありながら重度の膝蓋骨脱臼に罹患しており手術による整復術を提案、実施しました。右膝関節は症状もなくグレードも低いため経過観察となりました。
手術内容:左膝蓋骨内方脱臼整復術
硬膜外麻酔、オピオイド系鎮痛薬の持続点滴による疼痛管理の実施
- 縫工筋前部、内側広筋の解放
- 滑車溝造溝術
- 脛骨粗面転位術
- 関節包縫縮術
- ロバートジョーンズ包帯法による術後浮腫の防止
術後1週間ほど入院し、安静、術後疼痛管理、抗生剤の投与を行い退院。 退院後左後肢の負重は弱かったものの退院後徐々に体重をかけ始め術後3週目には歩様の改善を認めました。
- まとめ
-
膝蓋骨脱臼は小型犬の飼育頭数の多い日本においては非常によく遭遇する整形外科疾患ですが症状が軽い事も多く飼い主自身も症状に気づかないこともあります。
年齢を重ねてグレードが進行した場合、関節炎や四頭筋の拘縮による膝関節の伸展障害を引き起こし歩行障害が出てくるでしょう。場合によっては前十字靭帯の断裂を併発する可能性があります。
適切な時期に適切な治療を行う事で将来の生活の質を向上させる事が出来ます。
今痛みはないから…といって放置してよい疾患では決してありません。
もし愛犬の膝関節に関してご不安に思うことがあればまずは当院を受診ください。
