診療科
ホームᐳ診療科ᐳ循環器科
僧帽弁閉鎖不全症は高齢の犬で最もよく見られる心臓病です。
左心房と左心室の間にある仕切り(僧帽弁)が閉じきらず、心臓内で血液が逆流してしまうことでうっ血を起こし、最終的に心不全に至ってしまう病気です。心不全に至ると肺に水がたまってしまい呼吸困難を引き起こすため、緊急治療が必要になります。
一般的には強心剤や利尿剤などのお薬を、症状に応じて服用する内科治療が行われます。肺水腫を起こした犬の平均余命は、およそ10ヶ月と言われています。
当院では、僧帽弁閉鎖不全症の外科治療も行っています。内科治療と違って根治を目指すことが可能です。
肺水腫のレントゲン

肥大型心筋症は高齢の猫で最もよく見られる心臓病で、自覚症状がない猫の約7頭に1頭の割合で認められるといわれています。診断時の年齢には幅があり、若くても発症することがあります。高血圧症や甲状腺機能亢進症などが原因で発症することもあります。
心臓の壁が厚くなることで十分なポンプ機能が保たれなくなり、最終的に心不全に至ってしまう病気です。
合併症の一つに大動脈血栓塞栓症があり、後ろ足が突然動かなくなってしまうのが代表的な症状です。
心筋症の初期は聴診などの一般的な身体検査のみで診断がつくことは少ないため、定期的な健康診断・検査が大切になります。
心原性肺水腫の猫の胸部レントゲン画像

動脈管開存症は犬の先天性心疾患で最もよく見られ、特徴的な心雑音が聴取されます。
動脈管(胎仔期に存在する、肺動脈と大動脈をつなぐ血管)が産まれてからも閉じることがなく、最終的に心不全を起こしてしまう病気です。
子犬のうちに手術をすれば寿命を全うできますが、診断・治療が遅れると手術不適応となってしまい、生後数年で亡くなってしまうことが多いです。
手術前(カラーモザイク状に見える部分が動脈管の血流)

手術後(動脈管の血流が消失している)

当院では循環器専門医による僧帽弁閉鎖不全症の外科手術(僧帽弁形成術)を行っております。
僧帽弁形成術とは人工心肺による体外循環下で、僧帽弁を本来の位置へ修復し補強を行うことで逆流をほとんど生じないようにする手術です。
肺水腫を起こした犬の平均余命はおよそ10ヶ月と言われており、手術を受けることでその余命を伸ばすことが可能です。症例によって手術のメリット・デメリットは異なるため、詳しくは獣医師にご相談ください。
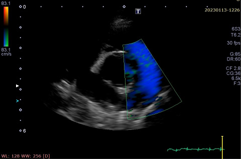
手術前(カラーモザイク状に見える部分が僧帽弁逆流)

手術後(僧帽弁逆流が消失している)
